تركيب الأسنان الثابتة والمتحركة
حلول احترافية لاستعادة مضغك وابتسامتك بثبات وجودة تدوم طويلاً
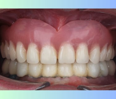
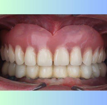
تركيب الأسنان الثابتة لتعويض الأسنان المفقودة بثبات مثالي
نتائج طويلة الأمد بمظهر طبيعي يناسب شكل وجهك وابتسامتك
تركيب الأسنان الثابتة يُعد الخيار الأمثل للأشخاص الذين يبحثون عن تعويض دائم يوفر القوة، والجمالية، والراحة.
يتم تصميم التركيبات بدقة عالية لتتناسب مع شكل الأسنان واللثة، مما يضمن مظهراً طبيعياً وابتسامة متناغمة.
يعتمد فريقنا على تقنيات حديثة لضمان ثبات قوي ومتانة تدوم لسنوات طويلة دون الحاجة لصيانة كبيرة.
نوفر تشخيصاً دقيقاً وخطة علاج مخصصة لكل حالة لضمان أفضل النتائج من أول جلسة.
• ثبات عالي بدون أي حركة أثناء الأكل أو الكلام
• مظهر طبيعي مطابق للأسنان الحقيقية
• مواد عالية الجودة مقاومة للتصبغات والاستهلاك








تركيبات الأسنان المتحركة المريحة والعملية لكبار السن وجميع الحالات
خيار مرن واقتصادي لتعويض عدد كبير من الأسنان بسهولة وراحة
توفر التركيبات المتحركة حلاً عملياً وسهلاً للحالات التي تحتاج لتعويض عدد كبير من الأسنان دون جراحة أو تدخل معقد.
نصنع التركيبات من مواد خفيفة وعالية الجودة لتمنحك راحة أثناء الاستخدام وسهولة في الفك والتركيب.
تساعد التركيبات المتحركة على تحسين النطق، والمضغ، وشكل الابتسامة بشكل ملحوظ.
نقدم فحصاً شاملاً لضمان تناسب دقيق يمنع التقرحات ويضمن ثباتاً ممتازاً داخل الفم.
• اقتصادية ومناسبة لمختلف الأعمار
• تصميم خفيف ومريح للاستخدام اليومي
• ثبات محسّن يمنع الحركة والانزلاق








حلول هجينة تجمع بين الثبات والمرونة لأفضل تجربة ممكنة
تقنية عصرية لنتائج طبيعية وثابتة مع سهولة الفك والصيانة
تقدم التركيبات الهجينة خياراً متوازناً يجمع بين قوة التركيبات الثابتة ومرونة التركيبات المتحركة.
تعتمد على دعم زرعات الأسنان لثبات أقوى، مع إمكانية الفك والصيانة بسهولة عند الحاجة.
هذه الحلول مثالية للمرضى الذين يرغبون في تحسين الابتسامة دون اللجوء لتركيبات ثابتة بالكامل.
نقدم فحصاً متكاملاً لتحديد الخيار الأمثل بناءً على حالة العظم واللثة وعدد الأسنان المفقودة.
• ثبات عالٍ بدون تخلخل
• مظهر جمالي متقدم وابتسامة طبيعية.
• سهولة الفك والتنظيف والصيانة








استعد لابتسامة أقوى وأكثر ثباتاً اليوم
جدّد ابتسامتك مع د. وسام علي العباسي بخدمات تركيب أسنان دقيقة ومضمونة


تواصل معنا بسهولة
رقم الموبايل : 07755591501
خدمة سريعة ومرنة للحجز والاستفسار عبر الواتساب أو من خلال الاتصال المباشر بالعيادة.
احجز موعدك عبر الواتساب
املأ النموذج ليتم التواصل معك مباشرة على الواتساب لتأكيد موعدك بسرعة.
احجز موعدك عبر الاتصال المباشر
تواصل معنا عبر الهاتف أو زرنا في موقع العيادة للحصول على رعاية فورية.
منصات التواصل الاجتماعي
أوقات العيادة: 4 مساءا - 9 مساءا
الأسئلة الأكثر شيوعًا خاصة بتركيب الأسنان الثابتة والمتحركة
هل التركيب يحتاج جراحة؟
الأسنان الثابتة العادية لا تحتاج جراحة، لكن التركيبات الهجينة أو الثابتة المدعومة بالزرعات قد تحتاج زرع بسيط لضمان الثبات، ويُحدد الطبيب الأنسب لحالتك بعد الفحص.
شنو الفرق بين الأسنان الثابتة والمتحركة؟
الأسنان الثابتة تُثبت بشكل دائم ولا تُزال، وتكون أكثر متانة وثباتاً، بينما الأسنان المتحركة يمكن فكّها وتركيبها بسهولة وتُعد خياراً اقتصادياً للحالات التي تحتاج تعويض عدد كبير من الأسنان.
شنو أفضل خيار إلي — الثابتة لو المتحركة؟
يعتمد على عدة عوامل: عدد الأسنان المفقودة، صحة اللثة، كثافة العظم، الميزانية، وسن المريض. الفحص الأولي هو اللي يحدد الخيار المثالي لضمان نتائج مريحة وطبيعية. احجز موعدك الان
شنو العمر الافتراضي لتركيب الأسنان الثابتة؟
بالعادة تدوم بين 10 إلى 15 سنة وقد تستمر أكثر مع العناية الصحيحة، مثل تنظيف جيد، متابعة دورية، وتجنب تكسير الأشياء الصلبة بالأسنان.
التركيبات المتحركة تتحرك أو تسبب آلام؟
إذا كانت مصممة صح، تكون ثابتة ومريحة. في البداية قد تحتاج فترة تعوّد بسيطة، وبعدها تصير طبيعية جداً بدون ألم أو تقرحات.




