زراعة الأسنان
تعويض الأسنان المفقودة بدقة وأمان مع خبرة عالية
تقييم الحالة قبل الزراعة
تشخيص شامل لتحديد أفضل الحلول العلاجية لكل مريض
في عيادة د. وسام علي العباسي ببغداد – الكرادة داخل، يبدأ كل مريض بتقييم دقيق لحالته.
يتم فحص الأسنان والفك بدقة باستخدام أحدث الأجهزة لتحديد مدى ملاءمة الزراعة.
يأخذ الطبيب بعين الاعتبار صحة اللثة والعظام لضمان نتائج مستدامة.
هذه الخطوة تضمن وضع خطة علاج شخصية ومتكاملة لكل حالة.
• تقييم صحة الأسنان واللثة والفك قبل الزراعة.
• تحديد أفضل نوع زراعة لكل حالة بدقة.
• ضمان خطة علاج شخصية ومخصصة لكل مريض.






عملية الزراعة تحت تخدير موضعي
إجراء آمن ودقيق باستخدام تقنيات زراعة الأسنان المتقدمة
تُجرى الزراعة تحت تخدير موضعي متطور لتقليل أي شعور بالألم.
خبرة د. وسام علي العباسي في جراحة الوجه والفكين تضمن أعلى دقة.
نلتزم بأعلى معايير التعقيم والتقنية لضمان سلامة المرضى في بغداد.
الهدف هو تثبيت الزرعة بشكل ثابت وطبيعي على المدى الطويل.
• زراعة الأسنان بأحدث الأجهزة والتقنيات الحديثة.
• تخدير موضعي لتقليل الألم وضمان راحة المريض.
• إجراءات آمنة مع متابعة دقيقة بعد العملية.




متابعة ما بعد الزراعة
اضمان نجاح الزراعة واستقرار السن الصناعي على المدى الطويل
بعد الزراعة، يتم المتابعة الدورية لضمان التحام العظم حول الزرعة.
نراقب صحة اللثة والفك لضمان استقرار السن الصناعي بشكل طبيعي.
الزيارات الدورية تساعد على اكتشاف أي مشكلة مبكرًا وتجنب المضاعفات.
المتابعة مستمرة لضمان أفضل نتائج وظيفية وتجميلية للمريض.
• متابعة دقيقة لصحة الزرعة واللثة.
• التحقق من استقرار السن الصناعي.
• تعديل خطة العلاج عند الحاجة لضمان أفضل النتائج.








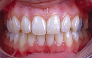
الزراعة المتقدمة وحلول التجميل
تحسين شكل ووظيفة الأسنان باستخدام أحدث التقنيات
نقدم في بغداد – الكرادة داخل زراعة أسنان متقدمة مع حلول تجميلية.
يتم اختيار الزرعة المناسبة لكل مريض لضمان الابتسامة الطبيعية.
الخبرة العالية للطبيب تضمن نتائج متينة ووظيفة طبيعية للفم.
التركيز على الراحة، الأمان، والجمال أثناء وبعد عملية الزراعة.
• زراعة الأسنان مع تحسين الشكل التجميل للابتسامة.
• استخدام أحدث تقنيات الأسنان الحديثة في بغداد.
• نتائج دائمة وآمنة مع متابعة مستمرة.






تواصل معنا بسهولة
رقم الموبايل : 07755591501
خدمة سريعة ومرنة للحجز والاستفسار عبر الواتساب أو من خلال الاتصال المباشر بالعيادة.
احجز موعدك عبر الواتساب
املأ النموذج ليتم التواصل معك مباشرة على الواتساب لتأكيد موعدك بسرعة.
احجز موعدك عبر الاتصال المباشر
تواصل معنا عبر الهاتف أو زرنا في موقع العيادة للحصول على رعاية فورية.
منصات التواصل الاجتماعي
أوقات العيادة: 4 مساءا - 9 مساءا
الأسئلة الأكثر شيوعًا في زراعة الأسنان
ما هي الخطوات بعد الزراعة لضمان نجاحها؟
تشمل المتابعة الدورية مع فحص اللثة والفك، تنظيف المنطقة بعناية، وتقديم تعليمات للغذاء والعناية اليومية لضمان التحام العظم واستقرار السن الصناعي.
هل زراعة الأسنان مؤلمة؟
تتم الزراعة تحت تخدير موضعي متطور، لذا يكون الإحساس بالألم خفيفًا جدًا. معظم المرضى في بغداد – الكرادة داخل يعودون لحياتهم الطبيعية خلال يوم أو يومين مع بعض التورم البسيط.
هل جميع حالات فقد الأسنان تحتاج زراعة؟
لا، يعتمد اختيار الزراعة على تقييم دقيق لحالة المريض وعمره وصحة الفك. في عيادة د. وسام علي العباسي يتم تحديد الحل الأمثل لكل حالة بخبرة ومصداقية عالية.
كم تستغرق الزراعة حتى تكتمل تمامًا؟
عادةً تستغرق عملية اكتمال الزراعة 3–4 أشهر حتى يلتئم العظم حول الزرعة بشكل كامل، لضمان ثبات السن الصناعي وقوته على المدى الطويل.
هل يمكن إجراء الزراعة إذا كانت اللثة ضعيفة؟
نعم، في العيادة يتم تقييم اللثة والفك بدقة، وقد نستخدم تقنيات داعمة مثل ترقيع العظام أو اللثة لضمان نجاح الزراعة بشكل آمن وطبيعي.






